tac del giorno T 2


001

002

003

004

005

006

007

008

009

010

011

012

013

014

015

016

017

018

019

020

021

022

023

024

025

026

027

028

029

030

031

032

033

034

035

036

037

038

039

040

041

042

043

044

045

046

047

048

049

050

051

052

053

054

055

056

057

058

059

060

061

062

063

064

065

066

067

068

069

070

071

072

073

074

075

076

077

078

079

080

081

082

083

084

085

086

087

088

089

090

091

092

093

094

095

096

097

098

099

100

101

102

103

104

105

106

107

108

109

110

111

112

113

114

115

116

117

118

119

120

121

122

123

124

125

126

127

128

129

130

131

132

133

134

135

136

137

138

139

140

141

142

143

144

145

146

147

148

149

150

151

152

153

154

155

156

157

158

159

160

161

162

163

164

165

166

167

168

169

170

171

172

173

174

175
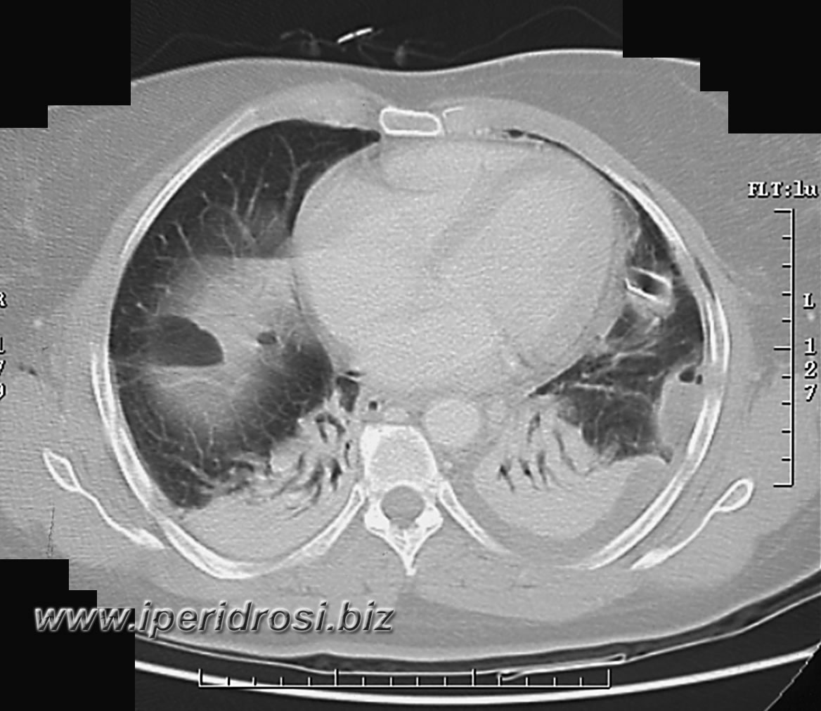
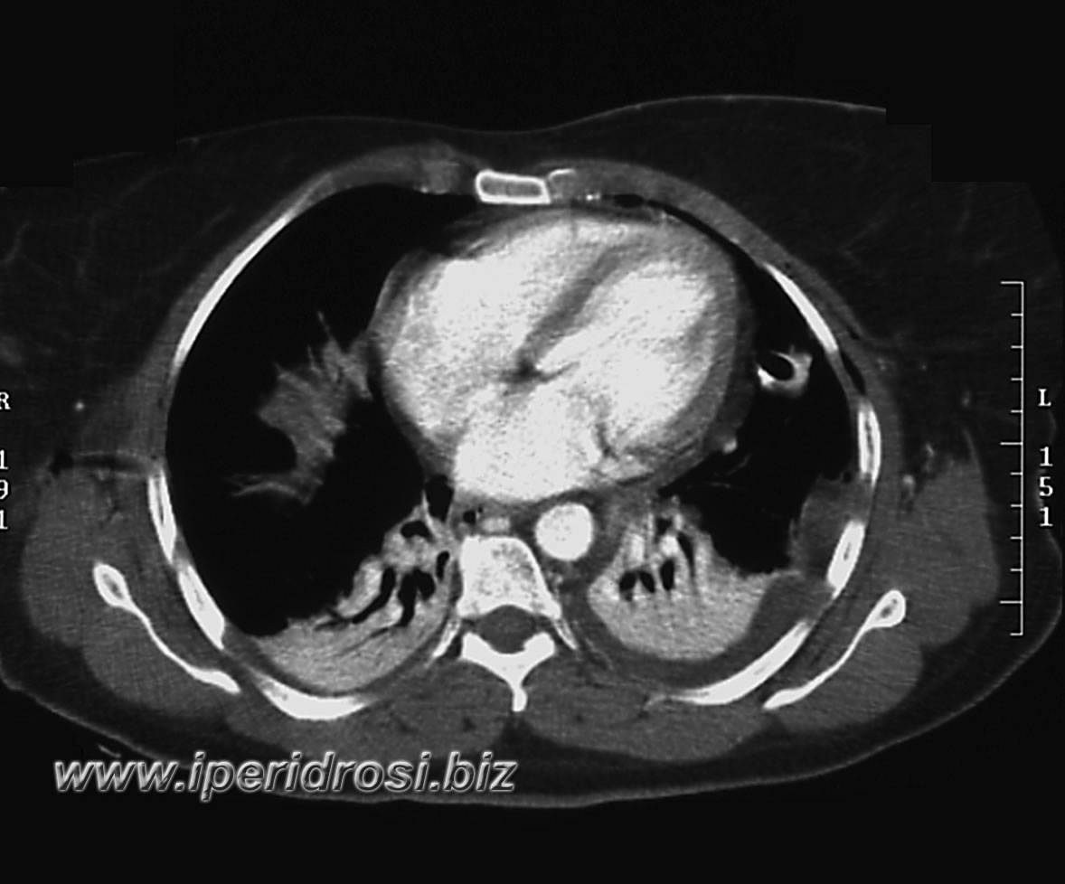
Torace: a sinistra abbondante versamento pleurico e parzialmente saccato, atelettasia parenchimale basale bilaterale più evidente a sinistra dove residua limitato parenchima ventilato.
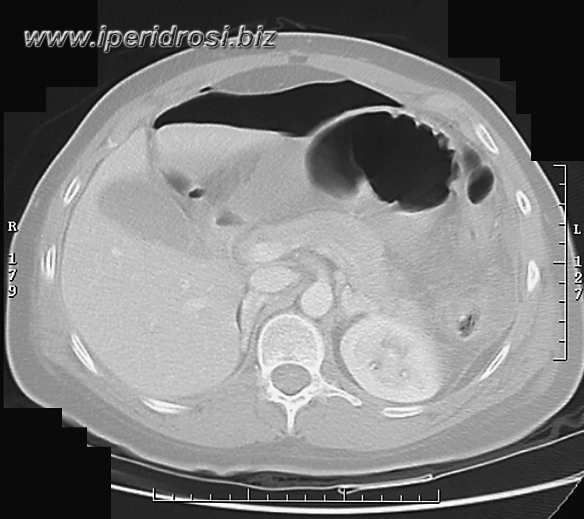
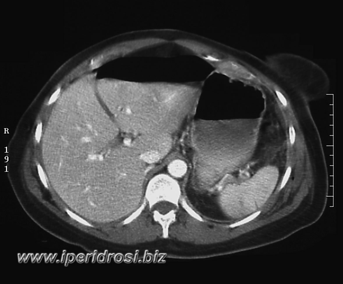
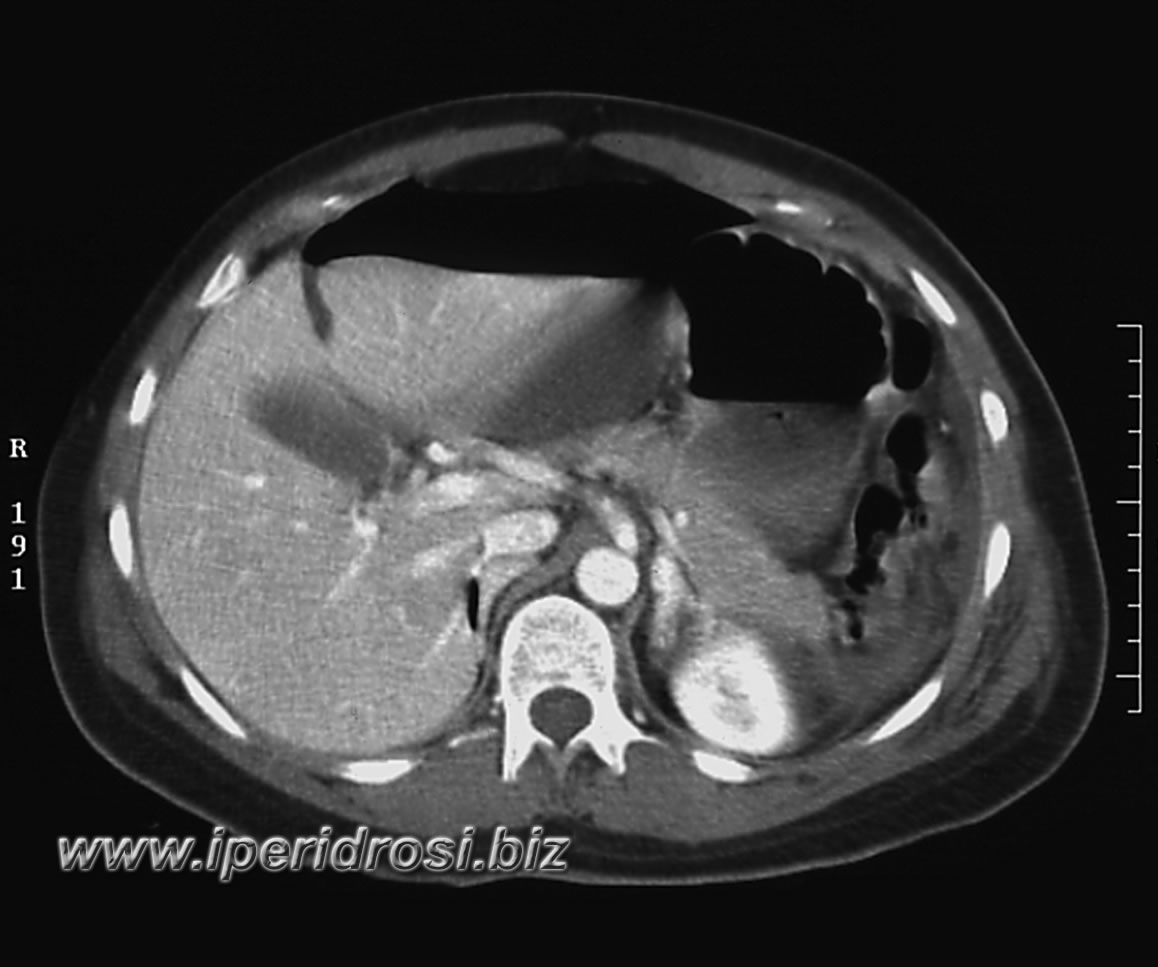
Addome: abbondante versamento addomino-pelvico diffuso con falda aerea piuttosto abbondante all'addome superiore. Rene a ferro di cavallo con cisti parapieliche a sinistra. Distensione del colon da meteorismo ed ispessimento delle pareti intestinali con iperemia di numerose anse.
torna all'indice delle pagine