tac del giorno T 36

001 002 003 004 005
006 007 008 009 010
011 012 013 014 015
016 017 018 019 020
021 022 023 024 025
026 027 028 029 030
031 032 033 034 035
036 037 038 039 040
041 042 043 044 045
046 047 048 049 050
051 052 053 054 055
056 057 058 059 060
061 062 063 064 065
066 067 068 069 070
071        
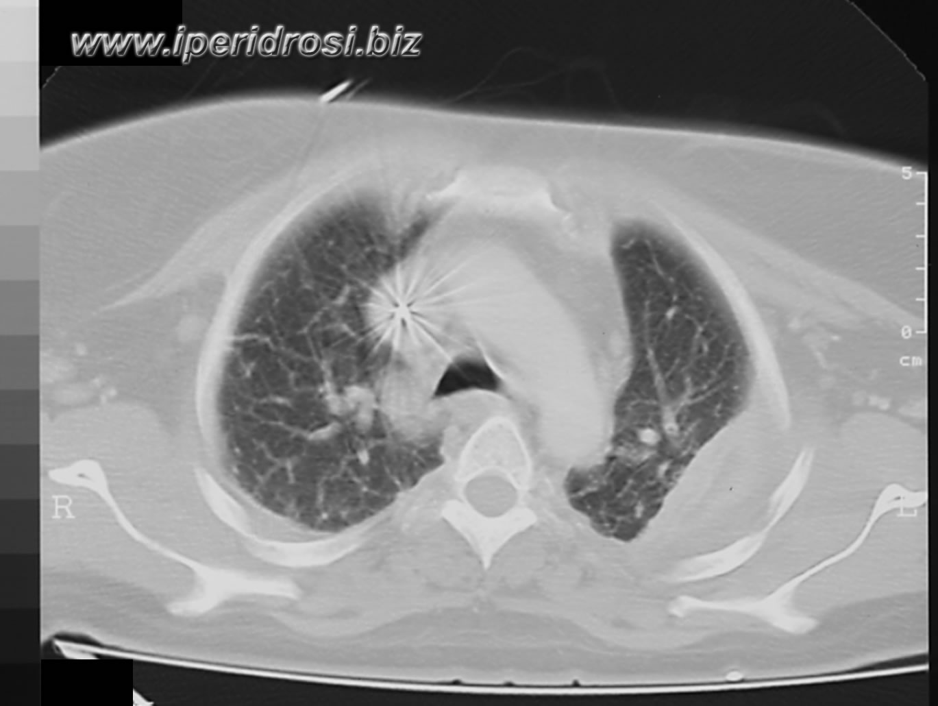
Al presente controllo si rileva la persistenza del versamento pleurico parietale saccato in sede ascellare posteriore sinistra, che tuttavia appare in regressione; le superfici pleuriche permangono iperemiche. Permangono aree distelettasiche ai lobi inferiori e diffusa congestione vascolo-interstiziale polmonare. Linfoadenopatie sono presenti alle stazioni ascellari, alcuni piccoli linfonodi alle stazioni medistiniche. Appare notevolmente regredita la raccolta ascessuale sottoepatica/retrocolica destra: permane piccola falda saccata con iperemia reattiva perifocale. Non altre raccolte endoaddominali.
torna all'indice delle pagine